Chiang Mai doctor reports severe lung cases tied to PM2.5
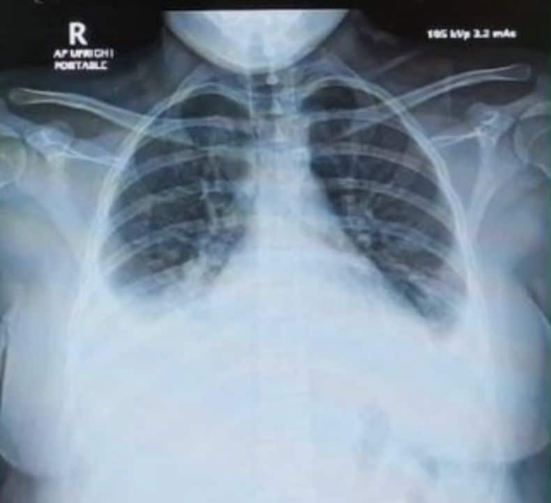
A doctor at Chiang Mai University said on April 17 that PM2.5 and toxic smoke in northern Thailand were linked to two serious lung cases, including a 19 year old foreign tourist who required high-flow oxygen.
PM2.5 levels in Chiang Mai remained at concerning levels yesterday with many areas covered by thick haze and reduced visibility. Officials have continued efforts to reduce pollution sources, while residents were advised to avoid outdoor activities and wear masks.
Associate Professor Dr Atikun Limsukon, a lecturer in respiratory disease, critical care and allergy medicine at Chiang Mai University’s Faculty of Medicine, shared the cases on social media.
One case involved a 19 year old foreign tourist with no underlying disease and no smoking history who travelled to Pai and Chiang Mai.

The patient developed severe lung inflammation and needed high-flow oxygen, along with antibiotics and steroids. The doctor said the tourist later recovered, and follow-up tests showed a normal chest X-ray.
However, further tests found elevated eosinophils, a type of white blood cell. The doctor said this indicated acute eosinophilic pneumonia, which was almost certainly caused by inhaling a large amount of toxic smoke over a short period, particularly in people who do not smoke regularly.
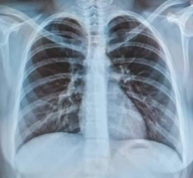
The doctor also described another patient affected by PM2.5 and air pollution who had an abnormal protein condition in the lungs.
The patient had previously required lung washing once or twice a year for the past five to six years, but had not progressed to respiratory failure requiring intubation.

However, less than two months after a previous lung wash, the patient returned with respiratory failure and needed a breathing tube. The doctor said the fluid collected during treatment was blood-stained, indicating much more severe inflammation than in earlier episodes.
He added that outside the haze season, the patient could usually wait several months between treatments without developing respiratory failure.
In this latest case, although protein sediment was lower than usual, widespread bleeding and increased bronchial mucus pointed to more severe lung injury and inflammation.
In similar news, Thailand’s air quality has worsened significantly, with PM2.5 levels breaching safety thresholds in 42 provinces spanning the north, northeast, and central regions, as forecasters warn of worsening pollution.
Latest Thailand News
Follow The Thaiger on Google News:

