Bangkok woman contracts rare lung infection from feeding pigeons

A Bangkok woman who regularly fed pigeons unknowingly inhaled fungal spores, leading to a lung infection and requiring surgery to remove a mass. Despite having no symptoms, she was diagnosed with cryptococcal pneumonia, which had formed a cavity in her lung.
Manoon Leechawengwong, a respiratory disease specialist, shared the case on Facebook, detailing the woman’s condition. At 52 years old, she lived in Bangkok and was generally healthy, with no history of smoking or chronic illness. She had no symptoms like cough, fever, loss of appetite, weight loss, or headaches.
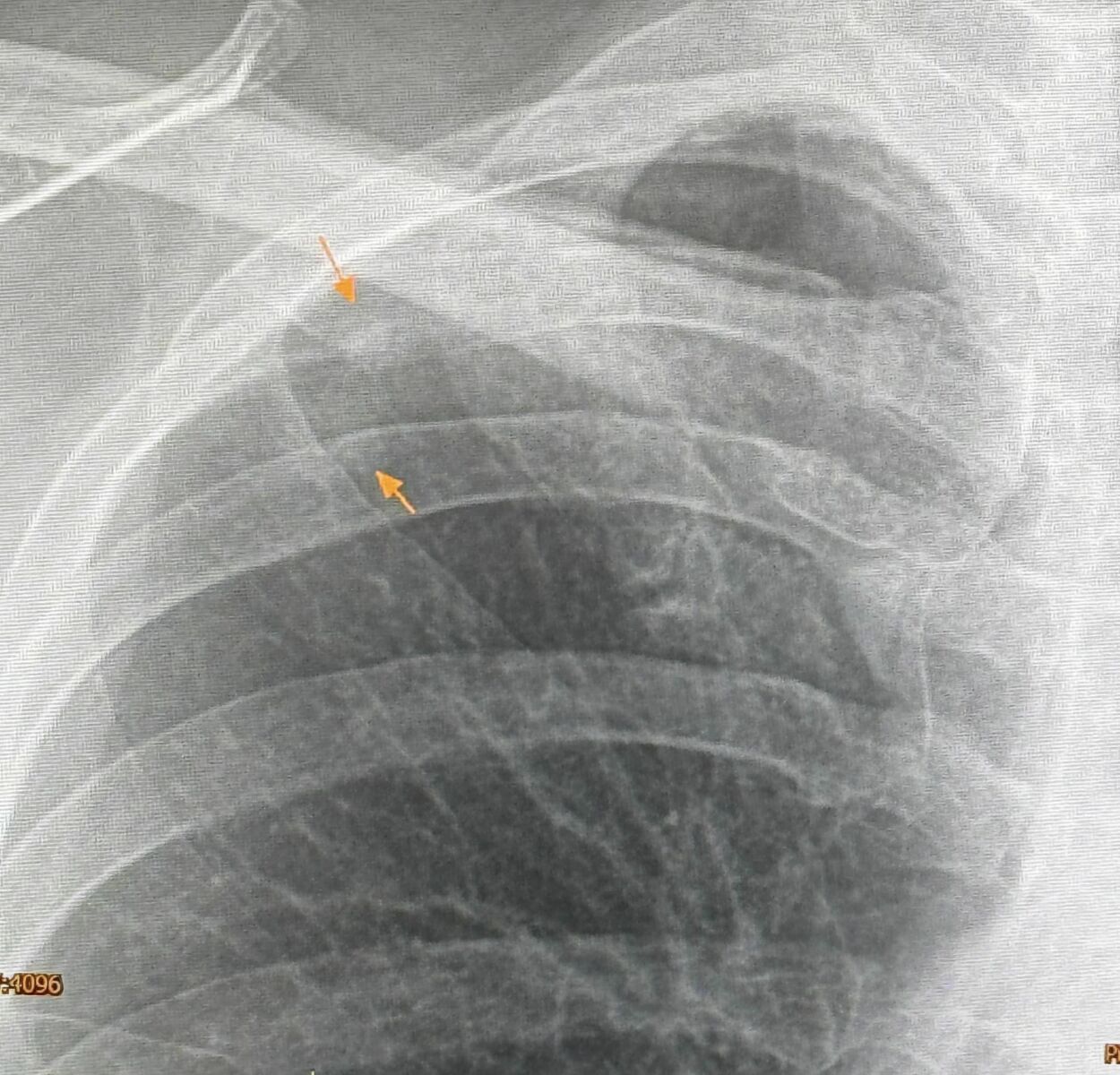
During a routine annual check-up on May 12, an X-ray revealed a new small mass in the upper lobe of her right lung. A previous X-ray from the year before was normal. A CT scan showed the mass measured 0.9 by 0.9 by 1.7 centimetres, with a cavity inside.
Blood tests confirmed she did not have HIV. Suspecting lung cancer, doctors performed surgery to remove the mass on May 22 at a nearby hospital.
The pathology report identified the mass as cryptococcal pneumonia, caused by the fungus Cryptococcus Neoformans. Four days post-surgery, a blood test for cryptococcal antigen came back positive with a titer of 1:8. The patient began treatment with the antifungal medication fluconazole. Seeking further advice, she consulted with her doctors on the next steps.
Further questioning revealed that the woman lived in an area with many pigeons and frequently fed them. She had inhaled spores from pigeon droppings, leading to the fungal infection in her lung.
Fortunately, her strong immune system prevented the infection from spreading beyond her lungs. The treatment plan includes taking oral fluconazole for approximately six months. She was advised to avoid feeding pigeons and to stay away from areas where they congregate, reported Sanook.
Manoon emphasised the importance of awareness regarding the health risks associated with feeding pigeons, particularly the potential for inhaling harmful fungal spores.



Latest Thailand News
Follow The Thaiger on Google News:

