หมอช็อก! เจอสาย USB ติดอยู่ในไอจ้อน ของเด็ก 15 อ้างทำเพื่อวัดขนาด

เมื่อวันที่ 7 กันยายน 2565 สื่อนอกอย่าง DailyStar ได้มีรายงานพบเด็กชายอายุ 15 ปีชาวอังกฤษ ไม่ปรากฏชื่อ-นามสกุล ต้องเข้ารับการรักษาด่วนที่โรงพยาบาล เนื่องจากอาการเจ็บที่องคชาติอย่างรุ่นแรง
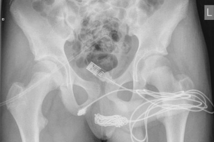
หลังจากการเอ็กซเรย์ (X-ray) ทำให้หมอและพยาบาลถึงกับผงะเพราะพบ สายไฟ USB ถูกสอดเข้าไปอยู่ในทางเดินปัสสาวะของเด็กชายทั้งหัว ทำให้เขาต้องเข้ารับการผ่าตัดในทันที
จากการสอบถามเด็กชายวัย 15 ปี เขาสารภาพว่านี่เป็นส่วนหนึ่งของการทดลอง วัดความยาวขององคชาตของเขา แต่การทดลองเกิดผิดพลาดเมื่อสาย USB ด้านหนึ่งไม่สามารถเอาออกมาได้ อีกทั้งสายภายในร่างของเด็กชายยังม้วนพันกันยุ่งเหยิงอีกด้วย
ทั้งนี้หลังจากการผ่าตัดเสร็จสมบูรณ์ พบว่าร่างกายของเด็กชายไม่มีความผิดปกติใด ๆ ทั้งนี้ทางแพทย์ ได้ออกมาเตือนถึงเหตุการณ์ดังกล่าวว่าเป็นเรื่องที่อันตราย และเสี่ยงต่อการติดเชื่อทางเดินปัสสวาะเป็นอย่างมาก โดยนี่ไม่ใช้เคสแรกที่มีคน สวนอวัยวะเพศ ด้วยอุปกรณ์ต่าง ๆ อันไม่พึงประสงค์

ขอบคุณข้อมูล DailyStar
ติดตาม The Thaiger บน Google News:






