อุทาหรณ์ หญิงชราแข็งแรง สูดดมสิ่งนี้หลายปี ปอดอักเสบ-พบก้อนเนื้อใหญ่ รักษาหายยาก

หมอมนูญ ยกเคส อาม่า 84 ปี ปอดอักเสบเป็นก้อนใหญ่ เหตุสูดดมเชื้อราขณะกวาดขี้นกพิราบ เตือนเลี่ยงสัมผัสโดยตรงหรือสวม N95 ป้องกันสปอร์เข้าปอด หากติดเชื้อต้องกินยานาน 6 เดือน
วันนี้ (12 มกราคม 2569) นายแพทย์มนูญ ลีเชวงวงศ์ แพทย์ด้านโรคระบบการหายใจ แชร์กรณีศึกษาที่น่าสนใจและควรเฝ้าระวังสำหรับคนไทย เรื่องราวของผู้ป่วยหญิงสูงวัยที่ดูภายนอกแข็งแรงดี แต่กลับตรวจพบก้อนเนื้อปริศนาในปอด โดยต้นตอของโรคกลับมาจากสัตว์ปีกที่หลายบ้านคุ้นเคยอย่าง ‘นกพิราบ’
กรณีนี้เกิดขึ้นกับผู้ป่วยหญิงไทย อายุ 84 ปี มีโรคประจำตัวทั่วไปอย่างความดัน ไขมัน และเบาหวาน แต่ดูแลตัวเองดี สามารถช่วยเหลือตัวเองได้ และไม่มีประวัติสูบบุหรี่ ผู้ป่วยเข้ารับการตรวจร่างกายประจำปีตามปกติ โดยที่ไม่มีอาการผิดปกติใด ๆ ไม่มีการไอ ไม่มีไข้ ไม่เหนื่อย ไม่เบื่ออาหาร และน้ำหนักตัวคงที่
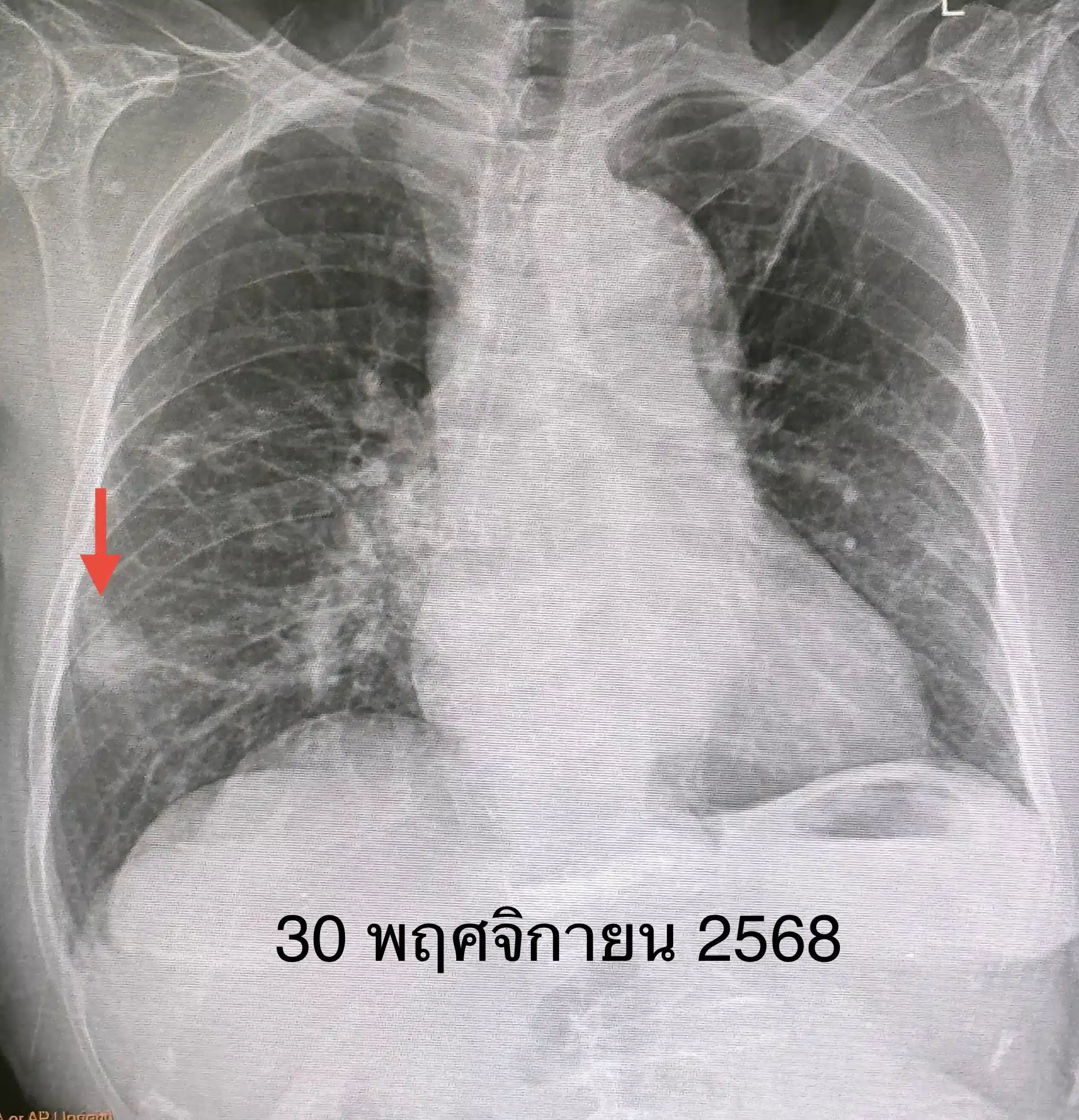
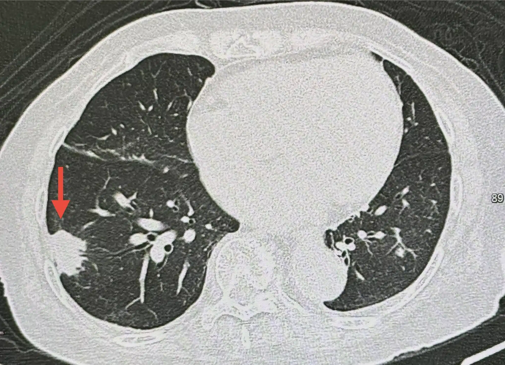
แต่ผลการตรวจทางแพทย์กลับพบความผิดปกติ ซึ่งภาพเอกซเรย์ปอด พบเงาผิดปกติที่ปอดข้างขวาด้านบน (รอยโรคเดิมจากวัณโรค) แต่สิ่งที่น่ากังวลคือ พบก้อนเนื้อใหม่ขนาด 1.9 x 1.9 เซนติเมตร ที่ปอดข้างขวาด้านล่าง ปีก่อนหน้านี้ไม่เคยมี จากเอกซเรย์คอมพิวเตอร์ (CT Scan) พบก้อนขนาดใหญ่ขึ้นเป็น 3.0 × 2.4 × 2.0 เซนติเมตรที่ปอดขวาด้านล่าง ส่วนผลเลือดค่าบ่งชี้มะเร็งทุกตัวปกติ

จากนั้นแพทย์จึงตัดสินใจใช้เข็มเจาะก้อนเนื้อดังกล่าวเพื่อส่งตรวจทางพยาธิวิทยา ผลปรากฏว่าไม่ใช่เนื้องอกร้าย แต่เป็นภาวะปอดอักเสบจากการติดเชื้อรา ‘คริปโตค็อกคัส’ (Cryptococcus)
จากการสอบถาม แพทย์พบความเชื่อมโยงจากสภาพแวดล้อมที่อยู่อาศัยของผู้ป่วย เธอพักอาศัยอยู่ชั้น 2 ของตึกแถว 4 ชั้น ที่มีฝูงนกพิราบอาศัยอยู่บนดาดฟ้าตึกมานานหลายปี ซึ่งนกพิราบมักบินลงมาเกาะที่ระเบียงและขอบหน้าต่างห้องพักของผู้ป่วยเป็นประจำ เธอเป็นคนรักความสะอาด และมักจะออกไปทำความสะอาด กวาดเช็ดมูลนกพิราบ ที่เกาะตามระเบียงและขอบหน้าต่างด้วยตัวเองเสมอ
นายแพทย์มนูญระบุว่า ผู้ป่วยรายนี้ได้รับเชื้อจากการหายใจเอาสปอร์ของเชื้อรา คริปโตค็อกคัส นีโอฟอร์แมนส์ (Cryptococcus Neoformans) จากมูลนกพิราบเข้าไปสะสมในปอดจนเกิดการอักเสบและก่อตัวเป็นก้อนเนื้องอก
โชคดีที่ผู้ป่วยมีสุขภาพพื้นฐานแข็งแรงและมีภูมิคุ้มกันที่ดี เชื้อราจึงไม่ได้กระจายออกนอกปอด หรือลามขึ้นสมอง (ผลตรวจน้ำไขสันหลังปกติ) การรักษาแพทย์จึงให้ยาต้านเชื้อรา Fluconazole เพื่อรับประทานต่อเนื่องเป็นเวลาอย่างน้อย 6 เดือน

จากกรณีนี้ นายแพทย์มนูญได้ฝากเตือนประชาชนทุกคน โดยเฉพาะบ้านที่มีนกพิราบมาเกาะอาศัย ดังนี้
- ควรอยู่ห่างและหลีกเลี่ยงการเข้าไปทำความสะอาดมูลนกพิราบด้วยมือเปล่าหรือไร้เครื่องป้องกัน
- หากมีความจำเป็นต้องทำความสะอาด ต้องสวมหน้ากากอนามัยทุกครั้ง
- แนะนำให้ใช้หน้ากากชนิด N95 เพื่อประสิทธิภาพในการป้องกันสปอร์เชื้อราขนาดเล็กไม่ให้หลุดรอดเข้าไปในปอดได้


อ่านข่าวที่เกี่ยวข้อง
- อย่าชะล่าใจ ไข้หวัดใหญ่ระบาด ป่วยพุ่งล้าน ดับแล้ว 125 ราย ระวังเงียบหน้าหนาว
- อินฟลูสายเฮลตี้ วัย 24 เจ็บอก-อาเจียน หัวใจวายเกือบตาย ช็อก เงินค่ารักษาหมดตัว
- ไม่ปวดท้องก็เป็นมะเร็งลำไส้ได้! เปิด 5 สัญญาณเงียบ ที่คนส่วนใหญ่มักตายใจ
ติดตาม The Thaiger บน Google News:





