หญิงวัย 29 ปวดหลังนาน 7 เดือนตรวจพบเป็น ‘วัณโรคที่กระดูกสันหลัง’

หมอมนูญเผยอุทาหรณ์ ผู้ป่วยหญิงอายุ 29 ปี ปวดหลัง 7 เดือน เมื่อตรวจพบเป็น วัณโรคของกระดูกสันหลัง เกิดจากติดต่อกันทางหายใจ เกิดได้กับทุกส่วนของร่างกาย
วันนี้ 29 มีนาคม 2566 เฟซบุ๊ก หมอมนูญ ลีเชวงวงศ์ FC ได้บอกเล่าเรื่องราว ส่งต่ออุทาหรณ์ที่อาจเกิดขึ้นได้กับทุกคนหลังหญิงสาวรายหนึ่งตรวจพบเป็น วัณโรคของกระดูกสันหลัง หลังเจออาการปวดหลังนานมากว่า 7 เดือน
“ผู้ป่วยหญิงอายุ 29 ปี ปวดหลัง 7 เดือน ก้มตัวไม่ได้ เดินลำบากเพราะปวดหลัง ไม่มีไข้ ไม่เบื่ออาหาร น้ำหนักไม่ลด ไม่มีโรคประจำตัว ในบ้านไม่มีใครเป็นวัณโรค
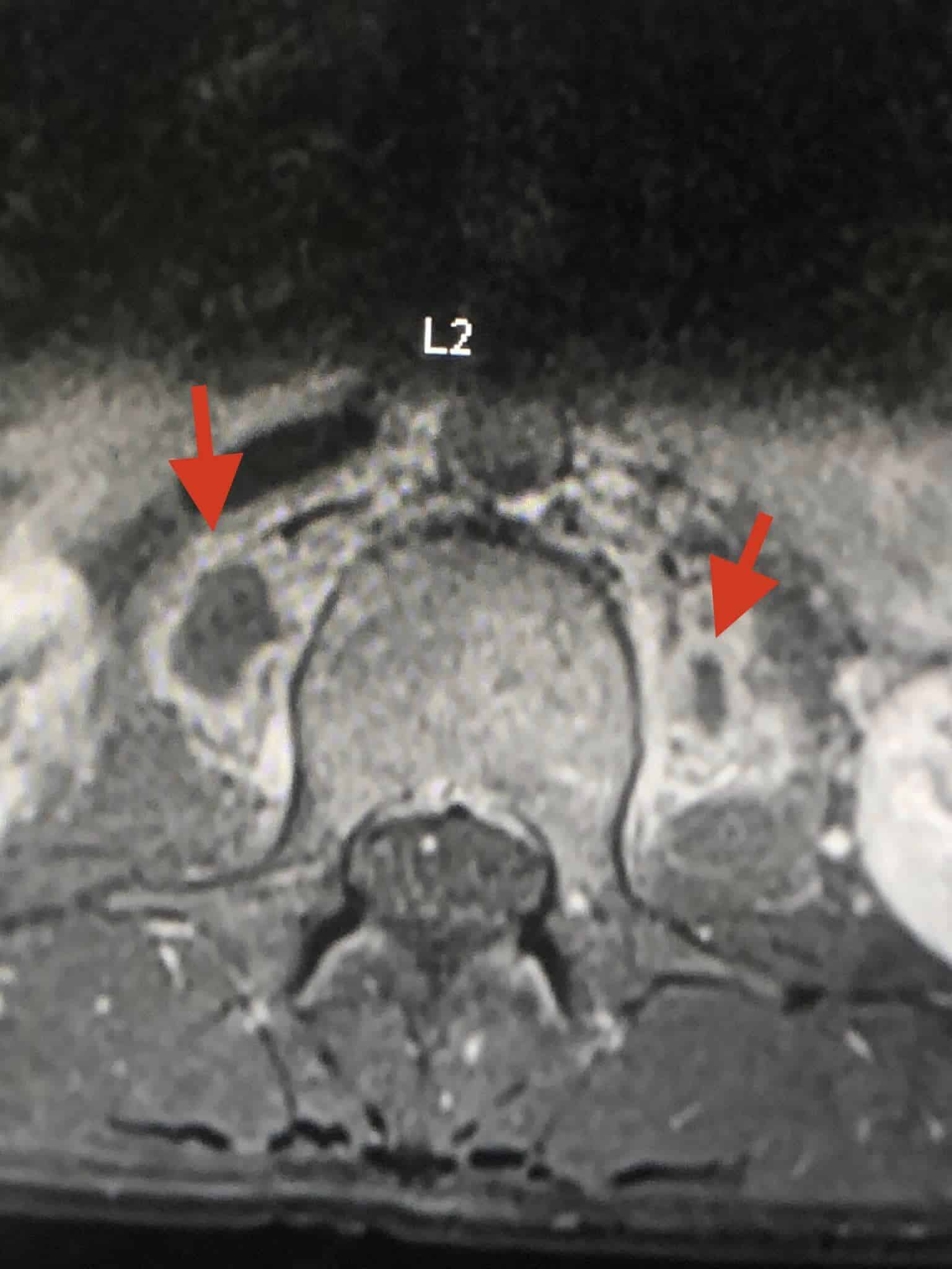
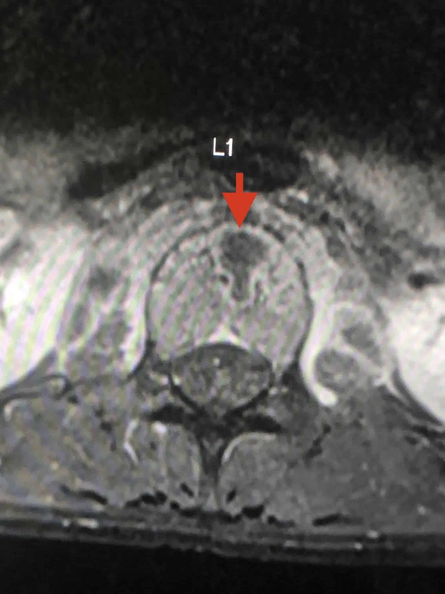
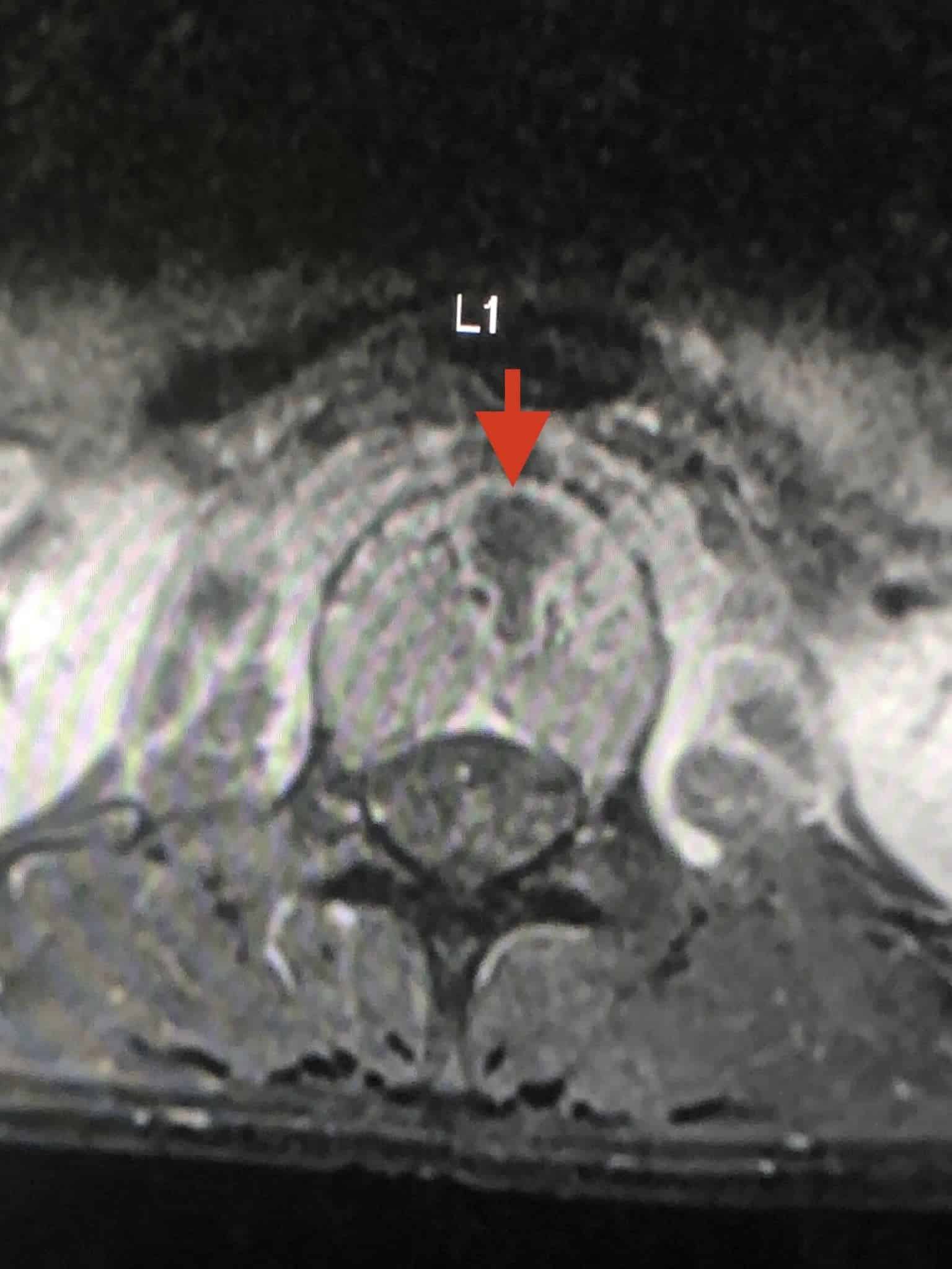
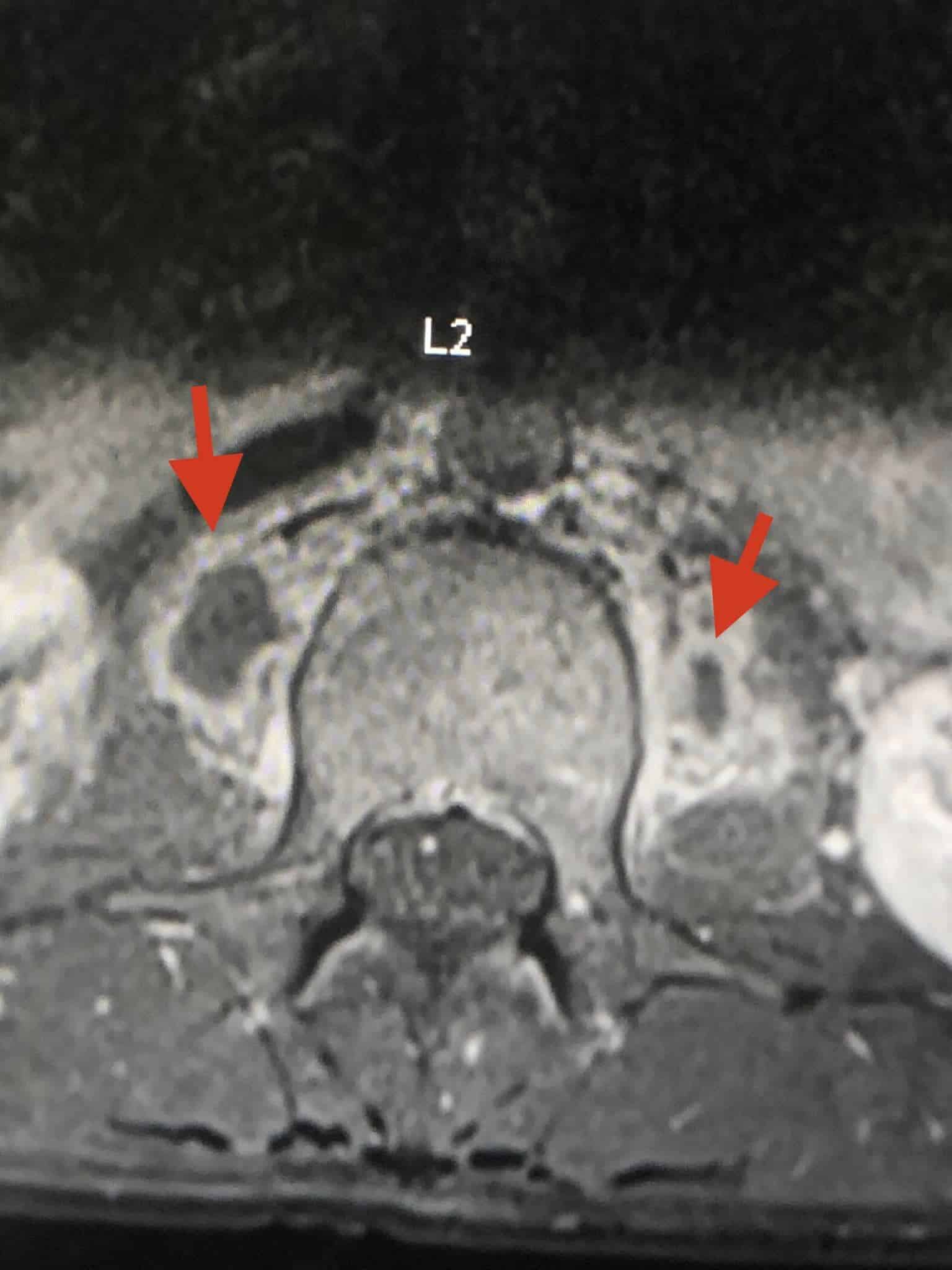
ตรวจร่างกายปกติ เจาะเลือดทุกอย่างปกติ เอกซเรย์ปอดและกระดูกสันหลังส่วนเอวปกติ ทำคลื่นแม่เหล็กไฟฟ้ากระดูกสันหลังส่วนเอว (MRI lumbar spine) ผิดปกติ สงสัยเป็นวัณโรคของกระดูกสันหลังส่วนเอว (lumbar spine) ชิ้นที่หนึ่ง และสงสัยมีการอักเสบรอบ ๆ เนื้อเยื่อกระดูกสันหลังส่วนเอวชิ้นที่ 1 และ 2 ร่วมด้วย (ดูรูป)
ได้ทำการเจาะเนื้อเยื่อรอบกระดูกสันหลังส่วนเอวด้านขวา ส่งตรวจย้อมเชื้อหาวัณโรคให้ผลลบ รอผลเพาะเชื้อวัณโรค ส่งตรวจพยาธิวิทยา ผลมีการตายของเนื้อเยื่อ ไม่พบมะเร็ง
เริ่มให้ยารักษาวัณโรค 4 ขนานพร้อมกัน ต้องให้ยารักษาวัณโรคกินต่อเนื่องประมาณ 1 ปี”
นอกจากนี้ หมอมนูญ ลีเชวงวงศ์ ยังได้ให้ความรู้เสริมเรื่องของ วัณโรค ที่สามารถติดต่อได้ผ่านทางการหายใจ แต่เกิดขึ้นได้กับอวัยวะทุกส่วนของร่างกาย ดังนี้
“วัณโรคเกิดจากเชื้อแบคทีเรียที่ชื่อว่า มัยโคแบคทีเรียม ทูเบอร์คูโลซิส (Mycobaclerium tuberculosis) ติดต่อกันทางหายใจ สามารถเกิดได้กับอวัยวะทุกส่วนของร่างกาย อย่างในผู้ป่วยรายนี้เป็นที่กระดูกสันหลัง แต่ร้อยละ 80 เกิดที่ปอด วัณโรคเป็นโรคที่พบบ่อย ทำให้คนไทยป่วยเป็นวัณโรคปีละ 1 แสนกว่าคน และเสียชีวิตปีละ 1 หมื่นคน”
ติดตาม The Thaiger บน Google News:








