เพจดังยกเคสจากญี่ปุ่น พบก้อนเชื้อที่ลิ้นหัวใจในเด็ก 4 ขวบ จุดเริ่มต้นมาจากฟันผุ
เพจดังยกเคสจากญี่ปุ่น พบก้อนเชื้อที่ลิ้นหัวใจในเด็ก 4 ขวบ หลังป่วยเป็นไข้มาสองเดือน จุดเริ่มต้นมาจากฟันผุ ย้ำสุขภาพช่องปากสำคัญ
เพจ Tensia โพสต์ข้อความระบุว่า “เด็ก 4 ปี เป็นไข้มา 2 เดือน หาเท่าไหร่ก็ไม่เจอสาเหตุ จนกระทั่งตรวจพบก้อนเชื้อเกาะที่ลิ้นหัวใจ และที่พีคคือเชื้อมาจากฟันผุจ้า เคสนี้เตือนให้รู้ว่า เริ่มที่ฟัน จบที่หัวใจได้
(เคสจากญี่ปุ่น)
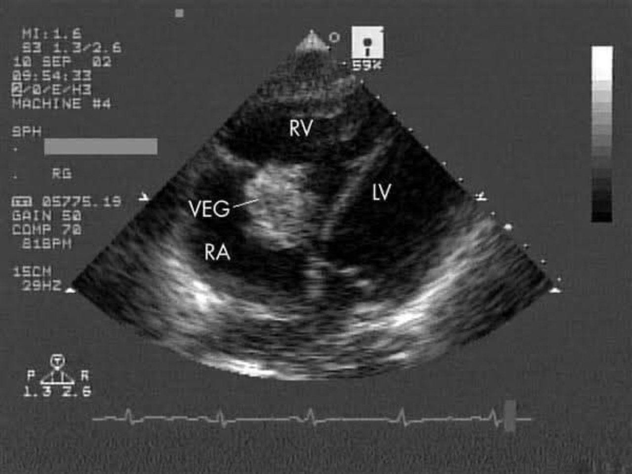
เคสเด็กญี่ปุ่น 4 ขวบ เป็นไข้มา 2 เดือน หาสาเหตุมาตลอดก็ไม่เจอ ให้ยาฆ่าเชื้อไป บางทีก็เหมือนไข้ลง พอให้จนครบแล้ว ไข้ก็เด้งกลับมาต่อ เลยหาจุดติดเชื้อในร่างกายยกใหญ่ แพทย์ใช้เครื่องเอคโค่ (Echocardiogram) ตรวจหัวใจ จึงตรวจพบก้อนโคโลนีเชื้อ (Vegetation) ที่ลิ้นหัวใจ tricuspid เพาะเชื้อขึ้นเป็นเชื้อ Streptococcus mutans ซึ่งเป็นเชื้อที่พบได้ในช่องปาก พอไปตรวจปาก ก็เจอฟันผุพอดี ซึ่งเป็นค่อนข้างเยอะด้วย
ดังนั้นฟันผุไม่ใช่เรื่องเล่นๆ เพราะแบคทีเรียบางชนิด เช่น S. mutans ที่ประสบความสำเร็จในการทะลวงฟัน จะเข้าสู่กระแสเลือดได้ และหลบหลีกภูมิคุ้มกันได้หลายกลไก แถมมันยังสร้างโปรตีนที่เอาไว้เกาะกับเส้นใยคอลลาเจน (Cnm, Cbm) ด้วย ทำให้ตำแหน่งของหัวใจที่มีผนังบาดเจ็บนิดๆ แล้วมีเส้นใยคอลลาเจนโผล่มา มันสามารถไปเกาะได้ค่ะ
และเมื่อมันเกาะได้แล้ว มันจะเริ่มเพิ่มจำนวน กลายเป็นแหล่งที่อยู่ใหม่ของมัน กลายเป็นก้อนๆ เกาะตามตำแหน่งของหัวใจ เช่น ตามลิ้นหัวใจ, ตามผนัง กลายเป็นก้อนที่เรียกว่า Vegetation เรียกภาวะนี้ว่า ผนังหัวใจชั้นในติดเชื้อ (Infective endocarditis)
ซึ่งภูมิคุ้มกันก็พยายามมาจับกิน แต่มันไม่ไหว เพราะมันมีเยอะเกิน ทุกครั้งที่เม็ดเลือดขาวจับกิน ก็จะสร้างสารก่ออักเสบ (IL-1, IL-6, TNF-a) เข้าสู่เลือดตลอด นี่จึงเป็นเหตุให้ มีไข้ยาวนานถึง 2 เดือน
หากเด็กคนนี้ยังไม่ได้รับการรักษา ก้อน vegetation นี้สามารถหลุดออกไปติดเชื้อตามอวัยวะอื่นได้ (Septic emboli) บางครั้งเชื้อเจริญมากๆ สามารถทำลายโครงสร้างในหัวใจ เกิดลิ้นหัวใจรั่วได้
โดยทั่วไป ในคนปกติเกิดยากหน่อย (แต่ก็ใช่ว่าเกิดไม่ได้นะคะ) แต่ในคนที่มีการไหลของเลือดในหัวใจผิดปกติ เช่น ลิ้นหัวใจรั่ว, ผนังกั้นรั่ว เลือดจะไหลแบบปั่นป่วน (Turbulent flow) ทำให้มีโอกาสทำความเสียหายนิดๆ ให้กับผนังในหัวใจอยู่แล้ว เปิดเส้นใยคอลลาเจนออกมาให้เชื้อเกาะ บางทีก็มีแกนลิ่มเลือดที่พยายามปิดแผล (NBTE) ให้เชื้อที่ผ่านมามาจับได้ค่ะ ซึ่งก็พอดีว่าในเด็กคนนี้มี ผนังกั้นหัวใจห้องล่างมีรูรั่วโดยที่ยังไม่ได้รักษาค่ะ (Ventricular septum defect)
ดังนั้นดูแลสุขภาพช่องปากเสมอนะคะ อย่าปล่อยทิ้งไว้เลย
✅ แปรงฟันอย่างน้อยวันละ 2 ครั้ง เน้นเอาเศษอาหารออกให้เกลี้ยง
✅ ถ้าเป็นไปได้ แปรงฟันแห้ง ได้ผลสุด คือแปรงแล้วไม่กลั้วน้ำซ้ำ เพราะมันจะทำให้ Fluoride เคลือบผิวฟันนานที่สุด ช่วยรักษาปราการสำคัญไม่ให้แบคทีเรียทะลวง
✅ ใช้ไหมขัดฟัน คอยเอาเศษเล็กๆ ที่ติดตามซอก ก็ยิ่งจะป้องกันได้มากขึ้น
✅ ตรวจสุขภาพช่องปากเป็นประจำ
✅ มีเหงือกอักเสบ ไม่ว่าจะจากอะไรก็ตาม ไปตรวจหาสาเหตุ
✅ การกินของหวาน + ดูแลสุขภาพช่องปากไม่ดี ยิ่งเพิ่มความเสี่ยงติดเชื้อ ซีนที่เจอบ่อยคือ กินของหวานแล้วนอนเลย ไม่แปรงฟัน”
อ่านข่าวที่เกี่ยวข้อง
- เพจดัง ยกเคสเตือนภัยคนชอบกินผักสด เจอพยาธิไส้เดือนในหลอดอาหาร
- แพทย์ฝรั่ง เผย แปรงฟันแล้วเห็นสิ่งนี้ เสี่ยงเป็นมะเร็งช่องปาก
ติดตาม The Thaiger บน Google News:





