รายแรกในไทย เผยเคส ฉีดวัคซีนโควิด mRNA ป่วยโรคภูมิต้านตนเองรุนแรง

วันที่ 2 ม.ค. 68 หมอมนูญ ลีเชวงวงศ์ ผู้เชี่ยวชาญด้านโรคระบบทางเดินหายใจ โพสต์ข้อความ ผู้ป่วยหญิงอายุ 32 ปี ปกติแข็งแรงดี ไม่มีโรคประจำตัว ไม่มียาประจำ ฉีดวัคซีนป้องกันโควิด แอสตราเซเนกา 2 เข็ม มิ.ย.และ ก.ย. 2564 ตามด้วยวัคซีนไฟเซอร์ ก.พ.และ ก.ค. 2565 หลังฉีดวัคซีนไฟเซอร์เข็มสอง 3 เดือน ต.ค. 2565 เริ่มมีไข้ ไอ ไม่เหนื่อย ผิวหนังบริเวณข้อของนิ้วมือพบตุ่มนูนแดง (Gottron’s papules) ผิวหนังที่โคนเล็บเห็นจุดแดงของเส้นเลือดฝอยที่ขยายตัว (periungual telangiectasia) ผิวหนังที่ฝ่ามือหนาตัวขึ้น หยาบกร้านและแห้งแตกเป็นร่องคล้ายมือของช่างเครื่อง (mechanic hands) มีผื่นแดงรูปตัว V ที่คอและหน้าอก (V-neck sign) บริเวณบ่าไหล่ 2 ข้างและหลังตอนบน (shawl sign) (เหมือนในรูปของผู้ป่วยรายอื่น) ไม่มีอาการทางกล้ามเนื้อ ฟังปอดผิดปกติที่ปอดด้านซ้ายล่าง

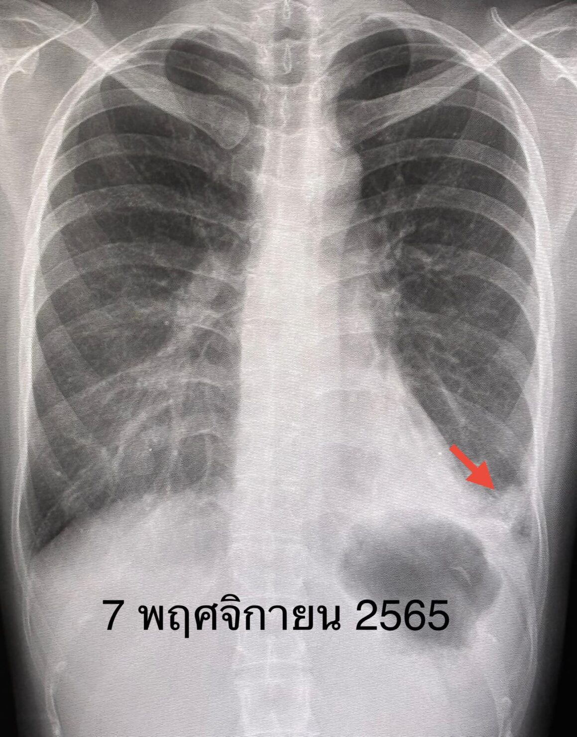
เอกซเรย์ปอดมีฝ้าขาวที่ปอดซ้ายด้านล่าง(ดูรูป ) คอมพิวเตอร์ปอดเห็นฝ้าขาวที่ปอดซ้ายด้านล่าง(ดูรูป) ทำสมรรถภาพปอดพบความจุของปอดลดลง เจาะเลือดค่าอักเสบของเลือดสูงเล็กน้อย ESR 31, hs-CRP 11.2, ANA positive 1:1280 Anti-MDA5 positive 3+, ค่าอักเสบของกล้ามเนื้อ CPK ปกติ 62
วินิจฉัย: ความผิดปกติทางผิวหนังทั้งหมดร่วมกับปอดอักเสบ และผลเลือด Anti-MDA5 บวก ไม่มีกล้ามเนื้ออ่อนแรง เข้ากับได้กับโรคภูมิต้านตนเองผิวหนังและกล้ามเนื้ออักเสบชนิดไม่มีอาการทางกล้ามเนื้อ Clinically Amyopathic Dermatomyositis (CADM) ให้ยาสเตียรอยด์ และยากดภูมิคุ้มกันไมโคฟีโนเลต (mycophenolate) ผื่นลดลง อาการทางปอดดีขึ้น

ผู้ป่วยได้วัคซีนไฟเซอร์เข็มที่ 3 เดือน ม.ค. 2566 เพราะกลัวว่าหากติดไวรัสโควิด-19 อาจป่วยรุนแรง เนื่องจากกำลังกินยากดภูมิคุ้มกัน ปรากฏว่า 5 วันหลังฉีดวัคซีนไฟเซอร์ ผื่นที่หน้า ข้อมือ ข้อศอก คอ หลังส่วนบน กลับมาเป็นมากขึ้น ไอ เหนื่อยเวลาออกกำลังกาย เอกซเรย์ปอดและคอมพิวเตอร์ปอดเห็นฝ้าขาวเพิ่มขึ้นที่ปอดด้านล่างทั้ง 2 ข้าง(ดูรูป)

วินิจฉัย: โรคภูมิต้านตนเองผิวหนังและกล้ามเนื้ออักเสบกำเริบหลังฉีดวัคซีนไฟเซอร์เข็มที่ 3 ต้องปรับเพิ่มขนาดยาสเตียรอยด์ และไมโคฟีโนเลต เพิ่มยาไฮดรอกซีคลอโรควิน (hydroxychloroquine) หลังปรับยา อาการดีขึ้นช้าๆ ผิวหนังดีขึ้น ไม่เหนื่อย
ผู้ป่วยติดเชื้อไวรัสโควิดครั้งแรกวันที่ 5 ธค. 2566 มีอาการน้อยมาก ได้ยาโมลนูพิราเวียร์ หายเร็วทั้งๆที่กินยากดภูมิคุ้มกัน ไม่มีอาการหลังการติดเชื้อไวรัสโควิด ค่อยๆ ปรับลดยากดภูมิคุ้มกันลงเรื่อยๆ ผิวหนังกลับมาเป็นปกติ เอกซเรย์ปอด และคอมพิวเตอร์ปอดดีขึ้นเกือบปกติ(ดูรูป) ทำสมรรถภาพปอดความจุของปอดกลับมาปกติ วันที่ 17 ธ.ค. 2567 หลังจากรักษา 2 ปีกว่า ได้หยุดยากดภูมิคุ้มกันทุกตัวเหลือแต่ไฮดรอกซีคลอโรควิน กิน 1 เม็ดวันเว้นวัน ค่าอักเสบของเลือดปกติ ESR 8, hs-CRP 0.4

โรคภูมิต้านตนเองที่เรียกว่า Anti-MDA5 antibody positive dermatomyositis มีมาเกือบ 20 ปีแล้วเป็นโรคหายาก พบน้อยมากๆ หลังการฉีดวัคซีนป้องกันโควิด mRNA เป็นพันล้านเข็ม มีรายงานการฉีดวัคซีน mRNA ทำให้เกิดโรคนี้ทั่วโลกประมาณ 50 ราย
คนไข้รายนี้น่าจะเป็นผู้ป่วยรายแรกในประเทศไทย เริ่มมีอาการ 3 เดือนหลังฉีดวัคซีน mRNA เข็มที่ 2 และอาการกำเริบในเวลาเพียง 5 วันหลังฉีดเข็มวัคซีน mRNA เข็มที่ 3 เกิดปอดอักเสบรุนแรงและรวดเร็ว การฉีดวัคซีน mRNA กระตุ้นให้คนบางคนที่มีกรรมพันธ์ุ (genetic predisposition) ให้สร้างภูมิต้านตนเองทำให้เกิดโรคนี้ ยังไม่ทราบแน่ชัดว่าวัคซีน mRNA กระตุ้นการสร้างภูมิต้านตนเองอย่างไร

ผมขอย้ำว่า วัคซีนป้องกันโควิด mRNA ปลอดภัยสำหรับคนทั่วไป โรคภูมิต้านตนเองที่เรียกว่า Anti-MDA5 antibody positive dermatomyositis เกิดขึ้นน้อยมากๆ หลังการฉีดวัคซีน mRNA
ขอเตือนว่า ถ้าใครเกิดโรคภูมิต้านตัวเองชนิดนี้หลังฉีดวัคซีน mRNA ห้ามฉีดวัคซีน mRNA เข็มต่อไป เพราะจะทำให้เกิดปอดอักเสบรุนแรงและรวดเร็ว ป่วยหนักได้

ที่มาจาก: หมอมนูญ ลีเชวงวงศ์ FC
ติดตาม The Thaiger บน Google News:





