สุดทรมาน ชายไต้หวันยัดมะพร้าวทั้งลูกเข้ารูก้น หมอรีบผ่าท้องช่วยชีวิต

ขำไม่ออก! ชายวัยกลางคนยัดมะพร้าวทั้งลูกเข้ารูก้น ฉี่-อึไม่ได้ หมอผ่าท้องช่วยชีวิต
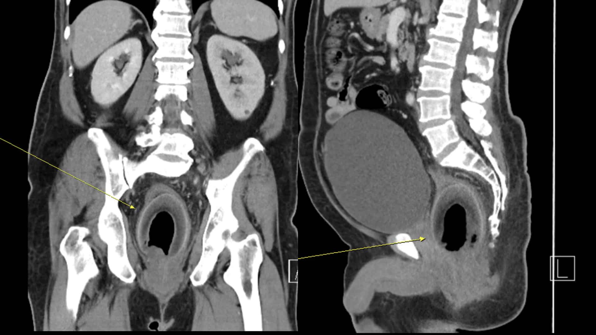
วันนี้ 20 มีนาคม 2567 ข่าวสุดแปลกนี้เกิดขึ้นที่เมืองเกาสง ประเทศไต้หวัน เมื่อชายวัย 50 กว่าปี ต้องไปโรงพยาบาลอีต้าด้วยอาการปวดท้องอย่างหนักและไม่สามารถปัสสาวะได้ เมื่อแพทย์ทำการ CT Scan ถึงกับผงะ เพราะพบว่ามี “มะพร้าวทั้งลูก” อยู่ในลำไส้ตรงของเขา แถมเจ้ามะพร้าวยังไปกดทับท่อปัสสาวะอีกด้วย
เคสสุดพิลึกนี้ถูกตีพิมพ์ลงในวารสารการแพทย์ของอังกฤษชื่อ British Journal of Surgery (BJS) สร้างความฮือฮาและถูกพูดถึงอย่างกว้างขวาง
จากรายงานระบุว่าชายผู้นี้มีอาการปวดท้องมาก ปัสสาวะไม่ออก และท้องผูกอย่างหนักมา 2 วันแล้ว โดยไม่มีไข้ คลื่นไส้ หรืออาเจียน เมื่อแพทย์ตรวจร่างกายพบว่าท้องของเขามีอาการบวม กดแล้วเจ็บ แพทย์จึงสั่งทำ CT Scan และพบเข้ากับมะพร้าวในลำไส้ตรง ซึ่งจำเป็นต้องผ่าตัดด่วน! สุดท้ายมะพร้าวทั้งลูกขนาด 7.5 x 5.7 x 5.5 เซนติเมตร ก็ถูกเอาออกได้สำเร็จ

คุณหมอเฉินจื้ออี้ ผู้อำนวยการศัลยกรรมทั่วไปโรงพยาบาลอีต้ากล่าวว่า ตอนที่ผู้ป่วยมาถึง ทีมแพทย์พยายามสวนท่อปัสสาวะเพื่อช่วยระบายปัสสาวะออก รวมถึงพยายามเอามะพร้าวออกด้วยมือ แต่ก็ไม่สำเร็จ ด้วยความกังวลว่ากระเพาะปัสสาวะของคนไข้จะแตกหรือลำไส้ตรงจะเน่าเสียหายจากการถูกกดทับ จึงตัดสินใจใช้วิธีผ่าตัดผ่านช่องท้องแทน
ทางโรงพยาบาลเปิดเผยว่าตอนที่ผู้ป่วยมาถึง กระเพาะปัสสาวะบวมผิดปกติเพราะมีปัสสาวะคั่งอยู่ถึง 2 ลิตรแต่ผู้ป่วยไม่ยอมบอกว่ามะพร้าวเข้าไปอยู่ในนั้นได้ยังไง จนกระทั่งฟื้นจากการผ่าตัดแล้วถึงออกจากโรงพยาบาลไป
คุณหมอเฉินจื้ออี้ เตือนว่าเวลาอยากหาความตื่นเต้นต้องระวังอันตรายด้วย เพราะถ้ารักษาไม่ทัน กระเพาะปัสสาวะหรือลำไส้ก็อาจแตกได้
แน่นอนว่าข่าวนี้สร้างความฮือฮาให้ชาวเน็ตไต้หวันอย่างมาก หลายคนแซวว่า “เข้าใจความยืดหยุ่นของรูก้นในมุมใหม่”, “คงเดินๆอยู่แล้วสะดุดหกล้ม มะพร้าวเลยกลิ้งเข้าไปพอดี”, “สงสารมะพร้าว”, “ได้ดังระดับอินเตอร์เลยนะเนี่ย!”
แปลกแต่จริง แพทย์เผยว่าเคสยัดของเข้ารูทวารไม่ใช่เรื่องแปลก แต่การยัดอะไรที่ใหญ่ขนาดมะพร้าวทั้งลูกแบบนี้ถือว่าหายากทีเดียว!

ภาพจาก: Yida Hospital
อ่านข่าววที่เกี่ยวข้อง
- โกนขนตูด หนุ่มหาทำ อึเหนียว หมักหมมเหม็นอ้วกแตกจนต้องไปหาหมอ
- แพทย์ผ่าตัดลุง 88 ปี หลังพบ ขีปนาวุธสงครามโลกครั้งที่ 1 ใน ทวารหนัก
- สยอง! หนุ่มยัดปลาไหลผ่านรูทวาร ทำเอาเกือบตาย แพทย์เร่งผ่าตัด
ติดตาม The Thaiger บน Google News:





