เลขทะเบียนรถ น้องซิฟู เชื่อแมวอ้วนให้โชคหลังตกใส่รถเลขนี้ 1 มิ.ย. 66

ส่องด่วน! เลขเด็ด แมวอ้วนตกใส่รถ เปิดเลขทะเบียนรถที่น้องซิฟูตกใส่ เชื่อเงินหล่นทับให้โชคคอหวย 1 มิถุนายน 2566 งานนี้นักเสี่ยงโชคแห่จดเลขเพียบ
กลายเป็นที่ฮือฮาไปทั่วประเทศ เมื่อมีการรายงานข่าวว่า มีแมวอ้วนชื่อว่า ‘น้องซิฟู’ ตกจากคอนโดชั้น 6 หล่นใส่รถของลูกบ้านจนกระจกหลังแตก แต่เจ้าแมวอ้วนกลับไม่เป็นไรเลย ทำเอาชาวเน็ตแห่แชร์ภาพจนกลายเป็นไวรัลดัง ก่อนที่ล่าสุดจะมีคนใจดี ออกมาเปิดเผยเลขทะเบียนรถที่แมวตกใส่ เพราะเชื่อว่าจะให้โชค หลังน้องแมวปลอดภัยไม่เป็นอันตรายใด ๆ ราวปาฏิหาริย์
เลขเด็ด แมวอ้วนตกใส่รถ เลขทะเบียนรถน้องซิฟู 1 6 66
สำหรับเหตุการณ์แมวอ้วนตกใส่รถ เรียกได้ว่าเป็นมหากาพย์ไวรัลในทวิตเตอร์ไทย เนื่องจากหลายคนเอ็นดูหน้าตาซื่อ ๆ ของน้องซิฟู แมวอ้วนผู้ก่อเหตุ
ด้านเจ้าของรถได้เล่าว่า นิติคอนโดได้โทรศัพท์มาหา ตอนประมาณ 7 โมงเช้า บอกว่ามีแมวตกใส่รถ โดยระบุว่าแมวหนักราว 8.5 กิโลกรัม ตกจากระเบียงห้องชั้น 6 หล่นใส่รถจนกระจกแตกเป็นรูกว้าง
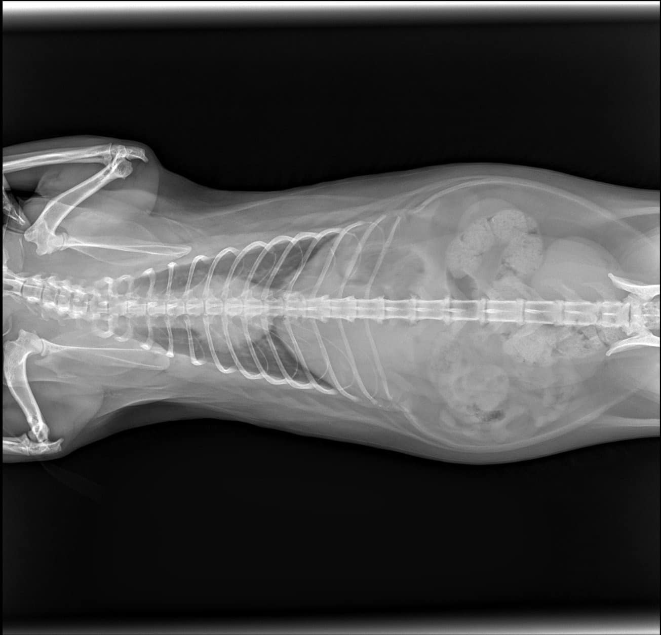
ทั้งนี้เมื่อตรวจสอบพบว่า น้องแมวอยู่ในสภาพตกใจเล็กน้อย แต่ไม่ได้บาดเจ็บหนัก โดยเจ้าตัวถูกล็อคเอาไว้เหมือนคนที่โดนจับได้ว่าทำผิด เนื้อตัวสะอาดสะอ้าน เมื่อนำไปเอ็กซเรย์ไม่พบอะไรผิดปกติ นอกจากเล็บที่ฉีกไปเล็กน้อย ในขณะที่ชาวเน็ตแห่แซวภาพเอ็กซเรย์เมื่อพบว่าในท้องแมวอ้วนมีอึแน่น
นอกจากนี้หลายคนได้แห่ถามเลขทะเบียนรถคันเกิดเหตุอีกด้วย โดยได้มีคนมาตอบว่า 9978 ทำให้หลายคนรีบนำไปเก็งหวยเป็นการด่วน
- เลขทะเบียนรถแมวตกใส่ : 9978
- แมวตกจากชั้น : 6
- น้ำหนักแมวอ้วน : 8.5
- เลข 2 ตัว : 99 – 97 – 78 – 89 – 98 – 06 – 85
- เลข 3 ตัว : 085 – 685 – 805- 997 – 978 – 685 – 789
งานนี้ใครยังไม่รู้จะซื้อหวยเลขไหน อย่าลืมเปิดใจนำเลขทะเบียนรถที่น้องซิฟูแมวอ้วนตกใส่จนกระจกแตก ไปเป็นแนวทางในการเสี่ยงโชคลอตเตอรี่งวดนี้ 1 มิ.ย. 66 กันดูได้ะ.
ติดตาม The Thaiger บน Google News:











