อึ้ง พบไมโครพลาสติกในปลาทู เฉลี่ย 78 ชิ้นต่อตัว

อึ้ง พบไมโครพลาสติกในปลาทู เฉลี่ย 78 ชิ้นต่อตัว ธรรมชาติปนเปื้อนไปด้วยพลาสติก
ไมโครพลาสติก – ศูนย์ปฏิบัติการอุทยานแห่งชาติทางทะเล ที่ 3 จ.ตรัง รายงาน การศึกษาไมโครพลาสติกในปลาทู บริเวณอุทยานแห่งชาติหาดเจ้าไหม จ.ตรัง ผลการศึกษาชวนตกตะลึง เพราะพบไมโครพลาสติกในปลาทู
ในการศึกษาไมโครพลาสติกในปลาทูบริเวณเขตพื้นที่อุทยานแห่งชาติหาดเจ้าไหม จังหวัดตรัง เก็บตัวอย่างจากท่าเรือบริเวณหาดเจ้าไหม เพื่อวิเคราะห์การปนเปื้อนของขยะประเภทไมโครพลาสติกจากการกินอาหารของปลาทู Rastrelliger brachysoma (Bleeker, 1851)
พบว่าปลาทูขนาดน้ำหนักเฉลี่ย 66.53 ± 1.136 กรัม (ค่าเฉลี่ย ± SE) ความยาวมาตรฐานเฉลี่ย 17.46 ± 0.087 (ค่าเฉลี่ย ± SE) เซนติเมตร มีไมโครพลาสติกในกระเพาะของปลาทูเฉลี่ย 78.04 ± 6.503 ชิ้น/ตัว
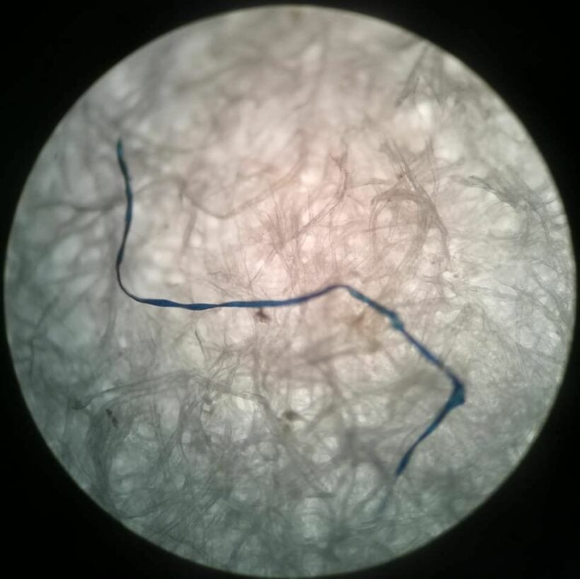
พลาสติกที่พบในปลาทูประกอบไปด้วยลักษณะที่เป็นเส้นใย (สีดำน้ำเงิน แดง และเขียว) ชิ้น (สีดำ ขาว แดง น้ำตาล-ส้ม ฟ้า-น้ำเงิน และเหลือง) แท่งสีดำ และกลิตเตอร์ ซึ่งลักษณะของไมโครพลาสติกที่พบมากที่สุดคือ ชิ้นสีดำ ด้วยค่าร้อยละ 33.96


ความน่ากลัวของขยะไมโครพลาสติกนั้น งานวิจัยแสดงให้เห็นว่า ไม่มีที่ใดของโลกสะอาดปลอดภัยไร้การปนเปื้อนพลาสติกอีกต่อไป !
พบพลาสติกในแอมฟิพอดที่ก้นมหาสมุทร ไม่มีที่ไหนที่ปลอดจากพลาสติกอีกแล้ว
วันที่ 1 มี.ค. ReReef ได้รายงานว่า งานวิจัยชิ้นใหม่ระบุ 80% ของตัวแอมฟิพอด (amphipod) หรือตัวดีดทรายซึ่งหากินอยู่ที่ก้นมหาสมุทรที่ลึกที่สุด 6 แห่งกินเส้นใยและชิ้นส่วนพลาสติกเป็นอาหาร! โดยเป็นเส้นใยจากเสื้อผ้าที่ซักเครื่องซักผ้า ความสำคัญของตัวแอมฟิพอดคือพวกมันเป็นอาหารสำคัญของปลาและสัตว์น้ำหลายชนิด จึงมีความเสี่ยงสูงมากที่พลาสติกที่พวกมันกินจะเข้าสู่ห่วงโซ่อาหารกลับมายังมนุษย์!
ทีมนักวิจัยจากมหาวิทยาลัยนิวคาสเซิลในอังกฤษ พบเส้นใยพลาสติกเป็นจำนวนมาก เช่นที่ Mariana Trench ซึ่งอยู่ลึกกว่า 11 กิโลเมตรทางตะวันตกของมหาสมุทรแปซิฟิก ซึ่งปนเปื้อนเส้นใยพลาสติก 100% ในแอมฟิพอดทุกตัวที่เก็บตัวอย่าง ที่สำคัญการศึกษาครั้งนี้เก็บตัวอย่างในพื้นที่นอกชายฝั่งของญี่ปุ่น เปรู และชิลี ซึ่งเป็นพื้นที่ที่ห่างกันหลายพันกิโลเมตร จึงเป็นตัวแทนของพื้นที่ขนาดใหญ่มาก
“มันเป็นหลักฐานว่าไม่มีที่ไหนที่ปลอดจากพลาสติกอีกแล้ว แต่ปัญหาคือเมื่อพลาสติกไปสะสมส่วนที่ลึกสุดของมหาสมุทร ขยะพวกนี้ไปต่อที่ไหนไม่ได้อีกแล้ว”

ภาพ : Phnom Penh Post
ทีมนักวิจัยตรวจสอบพบว่าเป็นเส้นใยในอุตสาหกรรมสิ่งทอ และคิดว่าน่าจะหลุดรอดออกมาจากเครื่องซักผ้า
“แอมฟิพอดหลงกินเส้นใยเหล่านี้เพราะมันมีขนาดใกล้เคียงกับแพลงตอนพืชที่เป็นอาหาร ปลาและสัตว์น้ำที่กินแอมฟิพอดเป็นอาหารจึงส่งต่อไมโครพลาสติกเข้าสู่ห่วงโซ่อาหาร เราเริ่มพบว่าวาฬที่เข้ามาเกยตื้นบางตัวมีชิ้นส่วนพลาสติกเล็กๆเหล่านี้เคลือบอยู่ในลำไส้”
ปัจุบันคาดการณ์กันว่ามีพลาสติกราว 51 ล้านล้านชิ้นในมหาสมุทร และส่วนใหญ่ 90% คือไมโครพลาสติกชิ้นเล็กๆ
ขอขอบคุณข้อมูลจาก : ReReef
ติดตาม The Thaiger บน Google News:





